• Sua vergonha de sorrir está com os dias contados!
    Com o novo sorriso planejado pelo Dr. Johan Salvatierra, sua autoestima será restaurada e você poderá sorrir sem medo.

Sobre Nós

Atendimento Diferenciado

Pode ser usado em todas as idades, crianças, adolescentes e adultos.

Oferecemos um atendimento exclusivo, adaptando cada tratamento às necessidades individuais de seus pacientes. Nossa abordagem personalizada garante resultados sob medida para cada sorriso, refletindo sua dedicação ao cuidado odontológico de excelência desde 2012 como Invisalign Doctor

Awesome Image

Dr. Johan Salvatierra

Fundador
Signature
  • +700

    Tratamentos Invisalign

  • +17 ANOS

    Ortodontia

  • +12 ANOS

    INVISALIGN Doctor

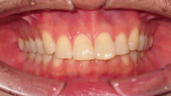
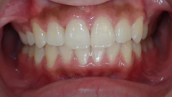
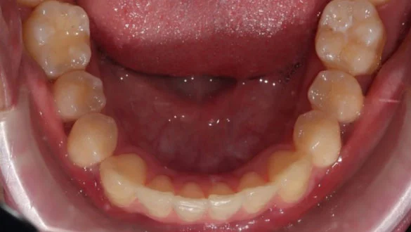
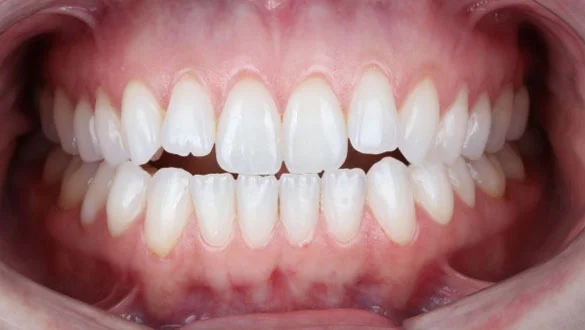
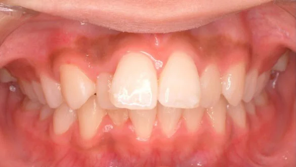
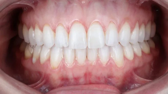
Alinhadores invisíveis dão resultado?

Veja os resultados:



Vida Nova

Como funciona o tratamento?

Com apenas 3 simples etapas, você terá o sorriso que merece em menos tempo do que imagina.

01
imagem

Avaliação e Escaneamento digital

02
imagem

Planejamento
Personalizado

03
imagem

Orientação e utilização
dos alinhadores




Awesome Image

+ Confiança

Sem o primeiro passo
o tratamento demora mais

Por meio da minha vasta expertise e da aplicação de tecnologia de vanguarda, efetuo transformações notáveis nos sorrisos dos pacientes, inclusive em casos de complexidade elevada, utilizando os alinhadores invisíveis.

Os alinhadores invisíveis representam uma solução elegante para o realinhamento dentário, livre do incômodo associado ao uso de metais ou fios.

No consultório, utilizamos técnicas de captura de imagens avançadas, sem moldagens desconfortáveis, permitindo uma visualização prévia do tratamento. Isso proporciona aos pacientes confiança e compreensão do processo antes mesmo de começarmos.

Dúvidas Frequentes


Quanto custa?

Duração do tratamento

Resultados rápidos. Tratamento varia em complexidade, geralmente 6-8 meses.

Dói?

A movimentação dos dentes pode causar algum desconforto devido à pressão moderada exercida, mas em comparação com aparelhos convencionais fixos, é muito mais suave. Isso se deve à aplicação de forças mais precisas e controladas.

Manutenções mensais são necessárias?

Não, faremos acompanhamento a cada 2-3 meses para avaliar o progresso do tratamento. Você receberá uma série de alinhadores personalizados, trocados a cada uma ou duas semanas em casa.

Para quem o alinhadores invisíveis é indicado?

Alinhadores invisíveis é para adultos, adolescentes e crianças que buscam um sorriso discreto. Tratamos uma variedade de problemas dentários, sem interferir na rotina agitada. Os alinhadores para adolescentes têm um ponto azul para garantir o uso adequado.

Como funciona o tratamento?

O tratamento começa com uma avaliação e um plano de tratamento personalizado. Depois, você usa os alinhadores exclusivos por 20-22 horas diárias, trocando-os a cada 1-2 semanas até alcançar o novo sorriso.

O alinhador afeta a fala?

É considerado o tratamento ortodôntico mais conveniente. Nos primeiros dias, pode haver um leve desconforto ao falar, mas logo desaparece com o uso regular dos alinhadores.

É confortável?

É confortável desde a primeira consulta, onde seu sorriso é digitalizado. Os moldes são indolores, imperceptíveis e proporcionam resultados incríveis.



Deixe para trás tudo o que você já ouviu sobre aparelhos ortodônticos.

Os alinhadores invisíveis reposiciona seus dentes sem metal ou fio, oferecendo conforto máximo durante o tratamento.

  • Removível para refeições e higiene bucal fácil.
  • Confortável, discreto e com ativações suaves!
  • Super prático, com consultas espaçadas!
  • Ágil e praticamente imperceptível!

Agendar Agora




Clinica Salvatierra

NOSSAS ESPECIALIDADES

Na nossa clínica, oferecemos uma variedade de serviços para atender às suas necessidades

imagem

ORTODONTIA e INVISALIGN

imagem

HARMONIZAÇÃO FACIAL

imagem

CLÍNICO GERAL

imagem

PRÓTESE ORAL E LENTES

imagem

ENDODONTIA

imagem

BUCOMAXILO FACIAL


NOSSOS E-BOOKS

Desenvolvemos alguns conteúdos completos com informações importantes sobre as nossas especialidades e você pode fazer o download deles por aqui!

imagem

Entrar em Contato

Awesome Image

Endereço: Rua Haddock Lobo, 846 - sala 303 - Cerqueira César, São Paulo - SP, 01414-000